一台双向“治愈”的手术

中青报·中青网记者 焦晶娴 来源:中国青年报(2023年04月12日  05版)

  •     谭先杰手术后常常浑身汗湿。受访者供图

  •     谭先杰门诊时看到的程小曼的肚子。受访者供图

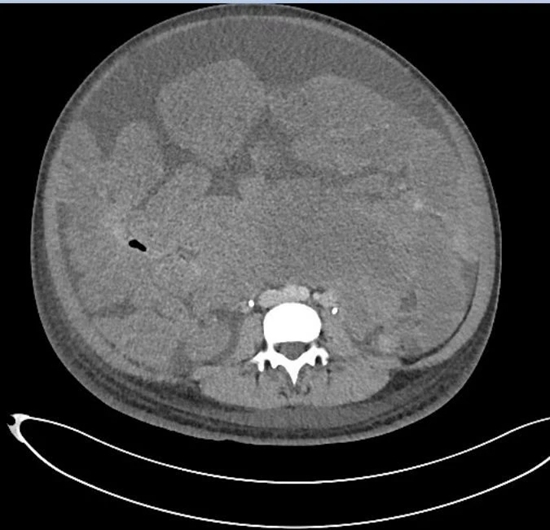
  •     程小曼的腹部CT片,浅灰色的不规则团块均为肿瘤。受访者供图

  •     每周的协和妇产科专家组讨论。焦晶娴/摄

    谭先杰知道自己将面临一场硬仗。3月1日这天,他醒得比平时早,看了几遍最新版的解剖图谱。他没喝咖啡,怕手抖。

    手术前,他在头上缠了几圈绷带当作汗带,以防汗水滴到手术台上。

    8时42分,这位协和医院的大夫切下第一刀。程小曼的腹腔裸露在无影灯下。

    他把那里比作“布满鹅卵石的海滩”。原本应该是肠管的位置看不到一段肠子,只有挤作一团的肿瘤。腹腔内唯一可见的正常器官是胃的下部。血管被挤到一旁,由于供养着密密麻麻、黄豆到蚕豆大小的肿瘤,直径变成正常血管的3倍。

    “无从下刀”,他用手摸,肿瘤的质地较软、呈粉红色,看上去、摸起来都与肠管无异。卵巢和子宫隐藏在盆腔深处。

    虽然预想过手术的复杂性,但谭先杰还是暗自心惊。

    他第一次见到程小曼的时候,她的肚皮被撑得发青,双腿和背部水肿严重,像分娩前的产妇。

    北京协和医院是她的最后一站。6年前,她就被查出“满肚子瘤子”,当地三甲医院下了“带瘤生存”的“判决”。她去医院做B超,总有一群医生围着她看,“像看稀奇动物。”无论是县城的小医院,还是全国知名的肿瘤医院,都不敢给她手术。

    每个月排卵期前后,程小曼的肚子会像怀了三四个月的孕妇。每到那时,她就把自己和隆起的肚子藏到家里,穿上黑色的大码T恤。过了那两天,腹水会通过尿液排出,她要每隔10分钟上一次厕所。三四天后排完腹水,肚子又恢复正常。去年12月感染新冠病毒后,她的肚子越来越大。她开始走不动路,呼吸困难,很难说话。她的血氧饱和度曾低到60%,远低于正常基准95%。

    从鄂西小县城来北京,程小曼快要用尽最后的力气。被推进手术室时,她甚至无法平躺。麻醉科医生给她背后垫上大棉垫,她在半坐位下接受镇静剂注射。在陷入昏睡前,她想着谭先杰说过的话,“我这人运气一直不错”。

    谭先杰不想让程小曼紧张。他知道与疾病共生的感受。

    打开程小曼的腹腔时,盛夏午后蝉鸣般喧嚣的耳鸣仍伴随着他。

    事实上,就在一年前,谭先杰还觉得自己倒霉透了。2021年11月一个失眠夜晚,他在床上担忧着患者术后出血情况,耳鸣突然降临。“最开始是觉得外面的东西在吵”,然而耳中的蝉鸣声一天比一天响。他被确诊为感应神经性耳鸣,终身无法治愈。

    但此刻握起手术刀,他只有一个念头,“把瘤子尽量切干净”,世界似乎安静了。

“我没那么强大”

    对于谭先杰来说,程小曼的这台手术,是3年来碰到过最棘手的。他甚至不确定自己是否恢复了耳鸣前的体力。

    自从2021年遭遇耳鸣后,他觉得“整个世界的颜色都变了”。他开始心慌、冒冷汗,一边掉黑头发、一边长白头发。有段时间,他停掉了大手术和门诊,停更了微博和朋友圈,7000多条微信从未被点开。他甚至开始整理重要文件和账号密码,跟家人交代后事。

    “50岁可能是一个坎儿。”在耳鸣前的一段时间,谭先杰总有种“做什么都有点应付”的感觉。教授评了,博导有了,“学术上基本到天花板了”。他也不愁病人,身为协和医生,又是科普“网红”,总有全国各地的患者慕名而来。想排他的手术,要等到两三个月后。

    50岁前,他“几乎没有患过任何病”,能轻松地倒立10分钟以上,一天能做五六台手术。他12岁那年母亲去世,家里因母患病从全村最富有的家庭骤然变穷,有段时间他一天只能吃一顿饭,他硬扛着饿,一路读到大学。他曾经觉得,“只要我身体好,多严酷的环境我都能挺过来。”

    耳鸣让谭先杰第一次发现,“我没那么强大。”

    他开始疑神疑鬼。以前,开一张核磁检查单对他来说只是敲击键盘的事儿。但作为患者躺在仪器上时,他才第一次仔细观察起医生的神态。看到他们交头接耳、指指点点,他的心一下子提起来,“是不是我脑袋里有个异常的肿瘤”。

    他开始担心小概率事件。他的双手薅过秧草、搬过砖瓦、练过毛笔字,手劲很大、也很稳,但药物的副作用可能会让他手抖。身为医生时,他会理性提醒患者,药物发生副作用的概率很低,“但作为病人,却总担心小概率事件发生在我身上。”

    他记得,听到医生对他说“有耳聋的可能性”,自己冷静的表情下强忍着恐惧。因此在门诊看到程小曼脸上淡然的笑,谭先杰知道,她淡然的背后是绝望。

    这里可能是程小曼的最后机会,“做了可能达不到很好的效果,但不做,她可能过几天就没了。” 他决定提请专家组讨论。

    每周一次的专家组讨论,是北京协和妇产科的传统。医生们会把自己碰到的疑难病例拿出来讨论,集体决定是否手术。

    很多国际领先的手术和治疗方案在讨论会上诞生。他们处理过18公斤的子宫肌瘤、疑难的子宫内膜异位症、罕见的幼少女生殖道肿瘤等复杂病例,提出的“协和式全盆底重建术”解决了被长期忽视的女性尿失禁问题。谭先杰的老师郎景和说,“越是难的,我们越感兴趣,越是特别重视。”

    但他们也会仔细斟酌手术对病人的风险和收益。面对不熟悉的、非妇科的肿瘤,有人会直说,“这不是我们的专业范围”。面对年龄较大、反复复发的晚期癌症患者,手术只会增加痛苦、不会延长生存期,有人会建议舒缓治疗。

    那次讨论会上,前两个病例的手术提议都被否决了。轮到程小曼时,谭先杰有点紧张。幸好大家都认为,程小曼只有40岁、太年轻,不做就没有其他办法。而且据目前的检查结果推测,肿瘤有良性的可能。手术提议通过。

    但谭先杰清楚,这不是他一个人能完成的战斗。于是他提请全院会诊,泌尿外科、基本外科、血管外科和平台科室麻醉科、手术室、输血科、放射科、重症监护室(ICU)的10多位专家坐在一起,商讨术前准备,并签下自己的名字。

    谭先杰形容自己是“项目召集人”,“每个人都是带着承诺和任务离开的。”输血科提前备好8个单位的红细胞。放射科给程小曼做了血管造影,对供应子宫的血管进行了栓塞,以减少术中出血。麻醉科给程小曼做了术前评估,对术中可能的问题做好了预案。

    “签名意味着手术的那段时间要空出来,到时候叫你,你就要上场。”手术当天,一位泌尿科医生和一位基本外科医生在手术中“上场”,帮忙修补了膀胱和肠管。

    手术前,谭先杰拒绝了电视台的拍摄邀请。他害怕影响自己的专注度。

    他需要纯粹的专心和谨慎。年轻的时候,他喜欢开车走盘山公路,“喜欢那种能精准掌控汽车的感觉”。以前从延庆回北京市区,他喜欢走拐弯和下坡多的八达岭高速,但现在,他更愿意走只用穿隧道的京礼高速,“求稳”。

    “如临深渊,如履薄冰”

    9时30分,谭先杰头上的绷带逐渐被汗水浸湿。

    他们还未找到子宫和卵巢。“把它们切下来就意味着成功了一大半。如果连这都没切下来,就白干了。”

    正是卵巢分泌的激素影响着肿瘤的生长,让程小曼每个月承受着腹胀的折磨。

    “只能农村包围城市”,谭先杰决定先从外围突破,靠着肠管的管状走势分辨肠管和肿瘤。他不断变换着切入部位,手中的金属镊子和电刀朝着盆腹腔深处探去。

    一毫米,又一毫米,手术电刀“呲呲”作响,一点点逼退肿瘤。

    前进的路上布满“雷区”。下腔静脉的管壁如纸一样薄,一旦破裂出血就是上千毫升。肠管管壁的厚度也只有1-2毫米,一旦损伤,重则引发致命性腹膜炎、感染性休克,轻则患者6个月内无法进食,只能从静脉输入营养物质。

    从医30年,谭先杰经常做噩梦。最初在产科值夜班时,他的噩梦是抢救新生儿。现在妇科肿瘤切得多了,他会梦见手术台上患者血管破了,想缝合却找不到缝线。或梦见突然看不清手术部位,“就像开车看不见路,那个难受啊。”有时候被吓醒,发现是梦,“真好”。

    每次手术前,他都感觉“如临深渊,如履薄冰”。

    1998年,他当总住院医师的时候,5个月内送走了13个病人。他当实习医生的时候,曾经给一位瘦得皮包骨头的患者插尿管,顺利插完后,患者说,“感谢大夫,我从来没有这样舒服过!”然而半小时后,病人走了。

    “那句他从来都没有这么舒服的话,让我很难受。”5年后,一个皮肤上长满了肿瘤的晚期妇科肿瘤患者,在他进行胸腔穿刺后,说了几乎一模一样的话,很快也走了。很长一段时间里,他都害怕听到类似的话。

    “这种舒服未必是好事儿,并没有改变他的结局。”

    为了甩开工作带来的无力感,他会在山顶大吼,或者关上车窗,在车里大声唱歌。

    他希望事物都能在自己的掌控中。复杂手术前,他会亲自架好腿架,调整好患者的体位,防止出岔子。他喜欢自驾游,出门喜欢抢着当司机。开车时,他很少聊天,非常专注,不停预判,“把周围每一辆车当作潜在的危险因素”。

    耳鸣后,他却连睡觉都无法控制。最初使用的激素类药物不仅没有让他的耳鸣减轻,反而让他变得烦躁、焦虑。焦虑导致失眠,失眠加重耳鸣,耳鸣又继续引发焦虑情绪,不断恶性循环。

    他最后不得不承认,“有些事儿是你控制不了的”。他开始学着放松和接纳,不再想着消灭耳鸣和失眠,而是把耳鸣当作一份“特殊的礼物”。

    休养的时间里,他静下心整理想要出版的书稿,更改了不少“偏激”的用词。他写道,“以前自己没有当过病人的时候,有些文章有无病呻吟之嫌,有些文章的语气并不恰当。自己当了病人之后,才知道什么叫做病急乱投医,什么叫做救命稻草,什么叫希望、失望和绝望,什么叫‘医无戏言’——医生无意间的只言片语,都能在患者心中激起狂风巨浪。”

    现在他更愿意花时间安抚病人的情绪,“大部分患者的焦虑、暴躁,是因为疾病。她也并不想这样。只有自己当过患者后,才能体会到那种无助。”

    手术室外,程小曼的姐姐希望,那个开朗、爱笑的妹妹能快些回来。

    姐姐认为,瘤子让程小曼变得敏感、自卑、易怒。她会冲问她病情的姐姐吼,“我的事儿你少管”。会在过年时拒绝亲戚给的钱,说“我没病”。但过年回家,她又会对着姐姐和父母哭诉,“你们都不关心我”。

    姐姐能感受到她内心的矛盾,“她一方面觉得自己生病了,无药可医,一方面又觉得,自己没什么病,就是肚子大了,之后会消的。”

    “碰上谭医生,说明我运气不差。”从门诊回酒店的那天晚上,程小曼第一次一晚上没发火,还罕见地笑了。

    9时42分,程小曼的姐姐给身旁的母亲报时,“一小时没问题了”。她相信,从手术室出来的,将会是一个全新的妹妹。

    “再切100个吧”

    手术台上,程小曼安静地躺着,身旁的仪器屏幕显示,生命体征平稳。

    麻醉记录单显示,12时43分,血气分析报告程小曼的血红蛋白明显降低。麻醉医生提醒谭先杰,程小曼的血红蛋白跌到了4克/毫升,远低于正常值11.5-15克/毫升。

    谭先杰心中一惊。他和助手快速复盘了一下手术进程,认为手术操作本身引起的出血并不多,但每切除一块肿瘤,瘤子中的血也一并被带走,所以程小曼的血红蛋白降低明显。

    沟通后,麻醉医生表示会想办法维持循环。手术继续。

    肿瘤太多,一个一个切太慢,谭先杰决定使用“卷地毯式”,彻底清除肠管和膀胱表面成串的肿瘤,“就是从它们的表面扒掉一层,还不能扒太多。”

    他先用镊子将白色蚯蚓般的输尿管从腹膜上分离,推到一旁。接着确认两大血管——髂外动脉和静脉的位置,确保它们不被损伤。

    接着他用手术刀将将布满肿瘤的腹膜从其下的器官表面剥离出来,用手脱出,“兜满瘤子,像口袋一样”。

    3小时后,“地毯”卷走,子宫和双侧卵巢终于显露出来,“柳暗花明又一村”。

    接下来是最后一步——尽可能地切除肿瘤,“切得越干净,意味着复发的可能性就越小。”

    程小曼的手术属于“肿瘤细胞减灭术”,通行的标准规定,只有全部切除肿瘤,或者残余肿瘤直径小于1厘米,才能称为“满意的肿瘤细胞减灭术”。手术开始时,考虑到肿瘤数量太多、切除风险高,谭先杰的目标是切除直径2厘米及以上的肿瘤。

    当目标初步完成,鲜红的肿瘤装满了手术大盆。他抬眼看了一眼显示程小曼生命体征的屏幕。血压正常。

    继续切还是就此打住,取决于主刀医生的抉择。继续切意味着延长手术时间,增加出血和肠道破裂的风险,但也意味着复发率的降低。

    “还是看不过去”,谭先杰看着腹腔内遗留的肿瘤,摇了摇头。他和助手决定把切除直径范围缩小到1厘米,对麻醉医生说,“再切100个吧”。

    1小时后,麻醉医生提醒,“200个到了”。

    “还是让人不舒服。”于是范围缩小至0.5厘米。

    最后,他和助手用电刀把直径小于0.5厘米的肿瘤一个一个烧焦。电流灼烧绿豆大小的肉球,发出“呲呲”的声响。他自嘲,“妇产科医生就是这么‘轴’。”

    “轴”是协和妇产科的传统。谭先杰和同事们经常碰见卵巢癌晚期的患者,“都是满肚子转移,外科看了直摇头,我们也要做。”

    40年前,中国第一台“卵巢癌肿瘤细胞减灭术”由老前辈吴葆桢和郎景和操刀。那时国内对于卵巢癌晚期治疗束手无策,吴葆桢提出,手术切除能有效延长生存期。为了“切干净”,手术时间总是不断延长。瘤子再多,他们也要一颗一颗尽可能剥下来。

    切得干不干净,病人和家属不会知道,但医生心里清楚。谭先杰的老师郎景和曾说,“医生是不能说假话的,说假话是要受到惩罚的。不是谁惩罚我们,是疾病,是自然。”

    研究数据显示,初始手术中,卵巢癌残留大于2厘米,患者5年的生存率只有2.6%。若小于2厘米,生存率提高到31%。

    谭先杰把肿瘤“残渣”也用电刀处理干净后,才彻底放心。18时22分,手术结束,历时9小时40分钟。

    程小曼的姐姐记得,从手术室出来时,谭先杰的手术服湿透了,声音却很兴奋。他在手术笔记里写道,“2023年3月初的那个黄昏,我成为世界上最快乐的人!”

    切下的瘤子快要从4个口径22厘米、容积1000毫升的手术大盆和1个手术弯盘中溢出来。谭先杰把它们铺满100厘米×100厘米的手术大单上,花了10多分钟计数。

    肿瘤一共1150多枚,手术中瘤体内带走的血液足有2600毫升,约5斤重。其中最大的瘤子尺寸18厘米×15厘米×8厘米,最小的只有黄豆大小。去掉几大块被送去病理检查的肿瘤,余下肿瘤重18斤。

    6年前,他曾从一位患者腹腔内取出一颗有两个足球大的肿瘤,也是18斤。

    但和6年前不同,面对这台手术,谭先杰觉得自己“更坦然”。手术前,他不像上次那样“患得患失”,没有失眠,也没有发朋友圈,“尽力而为就好”。手术后他的快乐很短暂,“碰到下一台手术还是战战兢兢”。

    他总提到郎景和的话,“我们不能保证治好每一个病人,但我们保证好好地治每一个病人。”

    程小曼在ICU醒来后,第一眼看到的就是谭先杰。她的气管插管已经拔掉,但还是虚弱。她用尽力气,对谭先杰说了句“谢谢”,就又睡着了。那天晚上,她梦见谭先杰给她端来一大锅排骨。

    手术后她最大的感觉是“饿”。她自称“吃货”,但今年年初肚子消不下去以后,她就吃不进去什么东西。她打算等身体养好,先吃上一顿重庆火锅,再把养在老家的狗接回家,“不想总是一个人”。她终于开始期待夏天,那是能穿上裙子的夏天。

    刚下手术,谭先杰又听到了耳鸣声。每次劳累后,他都会再次意识到耳鸣的存在。

    但耳鸣把他从工作倦怠中拯救了出来。他第一次深刻感受到,“虽然医生的工作是枯燥的,但真的能帮到人”。

    现在,这个语速很快、行事风风火火的重庆汉子,看门诊的速度变得很慢。不管手头多忙,病人一进屋,他都会先说,“您好,请坐”。问诊结束,他会耐心把病人的一沓报告整理好,在桌边磕整齐,再递回去。

    “原来是憋出来的耐心,现在是发自内心的耐心。”即使是相同的话给不同人重复很多遍,他也没有不耐烦,“因为每个病人听到的只有一遍。”

    有时他觉得,遇上耳鸣反倒是种幸运。他知道自己不再可能拥有宁静,“它一直在那儿”。但他知道如何摆脱它——披上白大褂,专注于手术或门诊,耳边的蝉鸣声就会“消失”。

    (出于保护患者隐私考虑,文中程小曼为化名)

返回