首个儿童心衰病房的首位患儿——

这个15岁男孩装了颗人工心脏

中青报·中青网记者 刘昶荣 来源:中国青年报(2024年03月02日  03版)

  •     浙大儿院制作的人工心脏3D模型。本文图片均由中青报·中青网记者 刘昶荣/摄

  •     乐乐需要随身携带的人工心脏的电池包。中青报·中青网记者 刘昶荣/摄

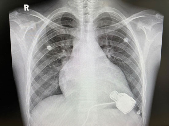
  •     乐乐胸部的X片,右下角的机器就是人工心脏。

    如果把听诊器放在乐乐(为保护未成年人,患者为化名——记者注)心脏的位置,听到的声音已不是“扑通、扑通”的心跳声,而是机器运转的嗡嗡声。是的,现在主要维持乐乐全身血液循环的,是一台机器,而不是心脏。这台机器大约有90克重,位于乐乐心脏的左心室。这颗人工心脏可以把充满氧气的血液泵向乐乐全身,让他像个健康人一样生活。

    乐乐今年15岁,是一名重症心衰患儿。病情严重的时候,乐乐连走路都费劲。乐乐的妈妈达庆华记得,2023年11月,他们决定去浙江大学医学院附属儿童医院(以下简称“浙大儿院”)做人工心脏手术的那天,杭州正下着雨,在去医院的路上,乐乐一手撑着伞,一手还帮妈妈推行李箱,走一步停一停。达庆华看着儿子这样,心里难受极了。

    在儿科领域,心衰并不少见,中国每年大约有4万例患儿因心衰住院。相对于成人,儿童心衰的原因有些不同。浙大儿院党委书记、心脏中心主任舒强解释说,儿童心衰常见的原因包括先天性心脏病、各种原因引发的肺炎、病毒性心肌炎、心律失常等。

    乐乐可能是因为病毒感染引发的肺炎而导致心衰。2022年10月,乐乐开始出现感冒症状,当地医院几次都没有治好。2023年1月初,乐乐开始食欲不振,按胃病治疗了半个多月,没什么效果。20多天后,乐乐整个人开始变得浮肿,达庆华在孩子的脚底一摁,出现了个“大坑”。达庆华记得一句民间俗语“男肿脚,必大病”,她当时慌了。

    达庆华赶紧联系在外地当医生的女儿,女儿让她马上把乐乐送到市里的医院。达庆华住在福建省的一个小县城里。福州市一家医院急诊收治后,紧急将乐乐送进了ICU,因为他的急诊检查结果显示有14项异常指标,其中包括心脏、肝、肾等器官的功能异常。

    此后,达庆华又带着乐乐辗转上海复旦大学附属儿科医院、中国医学科学院阜外医院等,这些大医院给出了相同方案:心脏移植或者人工心脏。

    首个儿童心衰病房的首位患儿

    在确认了做人工心脏移植后,达庆华和乐乐回家处理了一些事情,等再回来做手术时已是2023年12月。2023年12月22日,浙大儿院成立儿童心衰病房,这是国内首个儿童心衰病房,乐乐也成了这个病房的首位患儿。

    乐乐做手术的那天是2023年12月26日。5小时20分钟,达庆华对这个手术时长记得特别清楚,因为这几乎是这名母亲人生中最漫长的5个多小时。

    乐乐被推进手术室后,达庆华就把乐乐的一双鞋放在地上,她坐在这双鞋上,怀里紧紧地抱着乐乐的衣服,当时她心里想着:“儿子你是不能跑的,我压住你、抱住你,你要好好的,要平平安安地回来。”

    这期间,女儿要拉达庆华起来,她拒绝了。就这么坐了5个多小时,达庆华忽然听到了广播里叫她的名字。达庆华的第一反应是坏消息,她以为手术正常得七八个小时。飞奔过去后,医生告诉达庆华,手术很成功。这名母亲的眼泪再也忍不住了。

    乐乐的心衰由扩张性心肌病引发。由于基因或者某种突发疾病导致心肌功能退化,进而心脏扩大,变成扩张性心肌病。浙大儿院心衰/机械辅助循环科主任林茹解释说,乐乐心脏泵出的血量基本是正常人的1/3,剩下泵不出去的血“堆”在心脏里,心脏被越撑越大,慢慢发展成心衰。

    儿童常见的心衰发生在右心室,而乐乐的心衰发生在左心室。因此,人工心脏按在了乐乐的左心室。所谓的人工心脏其实是一个泵,泵的流入管对准左心室的二尖瓣膜,富含氧气的血液从肺部流经二尖瓣后,便会被机器抽入流入管,再通过机器泵进主动脉中。

    手术结束后,乐乐被推进了ICU,他觉得住ICU这段经历是他生病以来最难受的一个阶段。做完手术之后,乐乐觉得“身体很软”,很想睡觉休息,但是病房里24小时亮灯,而且和不同年龄段的孩子住在一起,乐乐经常会被低龄孩子的哭声以及机器的警报声吵醒。

    然而,对于半颗心脏换成机器的乐乐来说,手术后被安置在ICU是十分必要的。手术前乐乐的心脏是一个功能不完整的心脏,身体的各项机能也在随着心脏功能的变化而退化。手术让乐乐一下拥有了颗“健康”的心脏,身体的各项机能能否跟上,是个未知数。

    事实上,确实发生了一次危险。

    术后第二天,乐乐便出现了肺动脉高压。人的心脏分为左右两半,互不相通,左边心脏接收肺部的血泵到全身,右边心脏接收全身的血泵到肺,完成一个循环。随着乐乐左边心脏突然变得“健康”,泵向全身的血变多,右边心脏无法及时跟上,导致泵血量跟不上,进而形成了肺动脉高压。

    林茹记得,当时乐乐的肺动脉高压已经到了70mmHg,普通人一般是30mmHg左右,“这么高的肺动脉压力,是相当危险的。”医生紧急给乐乐用药,才没有发生危险。

    乐乐在ICU住了10天才回到普通病房。回到病房后,林茹也是早晚查两次房,而且每天都进行床旁超声检查,这台床旁超声机也是心衰病房成立后专门买的。“因为患儿的变化是瞬间的,每天多检查我才能放心”。

    人工心脏有两根电线连着两块电池,这两块电池在体外,所以现在乐乐的肚子上“长出了”两根电线,而且需要全天24小时携带着电池。除了两块供电电池外,还有4块备用电池。

    1月25日,乐乐已经出院。出院后,乐乐也需要每天向浙大儿院心衰病房汇报相关数据。林茹说,自从人工心脏装进患儿的身体里,她悬着的心就一直没有落地,因为现实中总会有些不可预测的意外。

    在乐乐之前,浙大儿院已为3个孩子植入了人工心脏。现在,每个有人工心脏的患儿回家后的状态,都由心衰病房的医生每天线上监测。但这不是长久之计,患儿的监测工作应该更加流程化、系统化。因此,非常有必要单独设置个科室,并配置专业的心衰病房。

    为心衰患儿提供多一种选择

    乐乐是一名很有自己想法的青春期男孩。2023年8月底,乐乐和达庆华曾来过一次浙大儿院,但是乐乐说什么也不同意做人工心脏手术,达庆华选择尊重孩子的想法。

    一年多的看病经历,已经把达庆华的家底掏空。从浙大儿院再去上海看病时,达庆华在医院附近租了间60元钱一天的小卧室。所谓的小卧室,其实就是在客厅用木板分隔出来的一间屋子,基本上不隔音。

    因为隔壁的呼噜声,那天夜里,达庆华和乐乐一夜没睡。早晨,达庆华和乐乐说:“妈妈先去医院挂号排队,你再休息一会儿,等快叫到号了,我再叫你过去。”就在这时,乐乐突然说:“妈妈,我们去杭州吧。”(浙大儿院位于杭州——记者注)

    对于当时的乐乐来说,基本上只有心脏移植和装人工心脏两个选择。乐乐的姐姐更偏向于用人工心脏,她觉得,如果心脏移植的话,需要终身服用抗排异药物;而选择人工心脏,随着技术的发展,未来将会有和人体融合程度越来越高的机器。

    达庆华认同女儿的意见,只是卡在了乐乐这里。当乐乐决定去杭州后,达庆华马上给女儿打电话,女儿立即给他们订好了去杭州的车票。

    对于那些想要做心脏移植的患儿来说,人工心脏提供了一个新的可能。相对于每年大约有4万例住院的心衰患儿,可供移植的儿童心脏每年只有50例。不少心衰患儿不得不面对想要移植心脏却无供体可用的困境,而此时,人工心脏就可以作为一个“缓冲”,他们可以先用着人工心脏等待供体。

    乐乐现在用的是第四代人工心脏。舒强介绍,前三代人工心脏的技术可能还不够成熟,其成活率低于心脏移植,使用第四代人工心脏的患者存活率基本上和心脏移植相同。据了解,国际上已有患者使用人工心脏活了15年。

    在浙大儿院开展这项业务之前,患儿做人工心脏只能去综合医院。现在,浙大儿院是国内唯一一家做了人工心脏手术的儿童专科医院,“儿科病儿科治”的优势得到了充分发挥。

    2021年,工信部、国家卫健委等10部门联合印发的《“十四五”医疗装备产业发展规划》部署了5个专项行动,其中,“重点医疗装备供给能力提升行动”中明确指出,促进新一代人工心脏、脑起搏器、新型人工心脏瓣膜系统等应用。舒强表示,作为国家儿童健康与疾病临床医学研究中心和国家儿童区域医疗中心,浙大儿院有责任也有能力打造治疗高地,为心衰患儿带去更多希望。

    据了解,乐乐的人工心脏手术费用个人只负担了近5万元,医保报销了近20万元,人工心脏的费用由浙江大学教育基金承担。目前,浙大儿院心衰病房仍有少量名额可由基金项目扶持。

    乐乐已回家一个多月了,一切顺利。休学一年多的乐乐打算复学了,达庆华正在给他办理复学手续。

返回